Fillings

Fillings

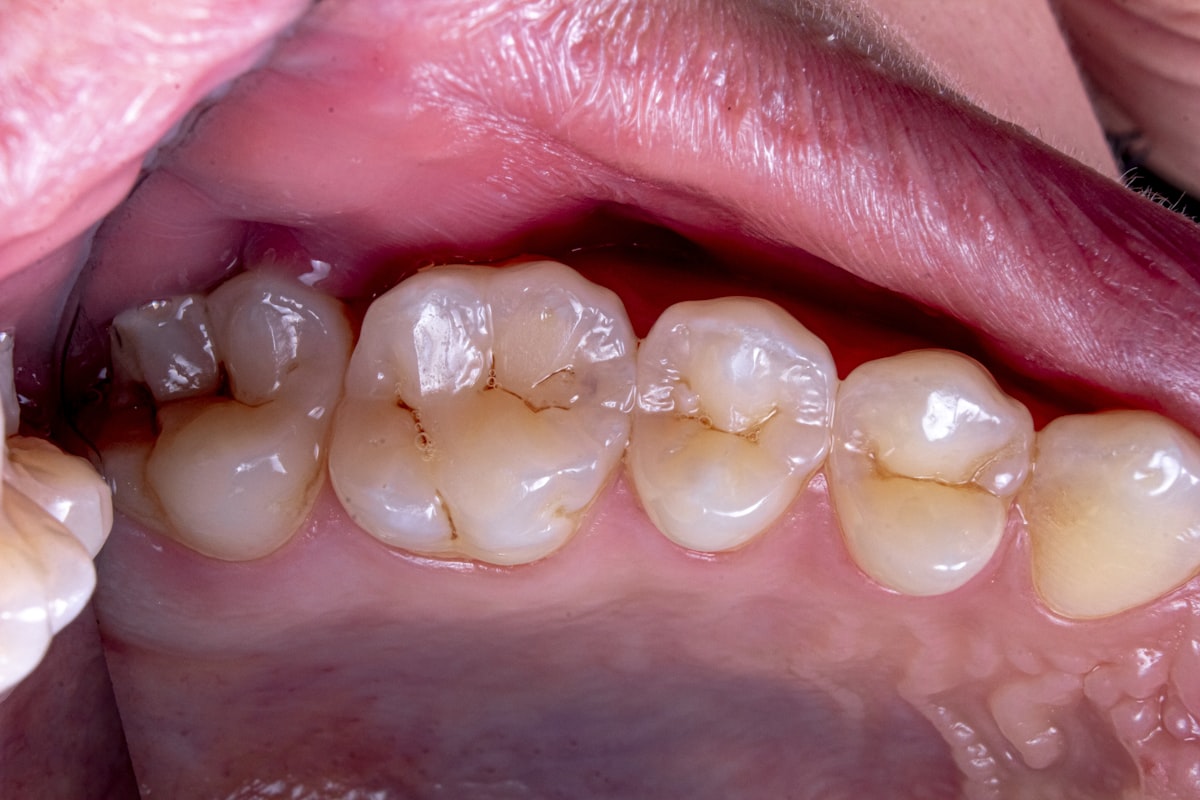
Dental fillings are restorative treatments used to repair teeth that have been damaged by decay, wear, or minor fractures. They restore the tooth's structure, function, and appearance, preventing further deterioration and helping maintain overall oral health.

The process begins with the removal of decayed or damaged tooth structure, typically under local anesthesia to ensure patient comfort. Once the affected area is cleaned and disinfected, the cavity is filled with a suitable dental material to rebuild the tooth's shape and integrity.

Common types of filling materials include:

  • Composite resin: Tooth-colored and ideal for visible areas, offering a natural appearance.
  • Amalgam: A durable silver-colored alloy, historically used for back teeth where strength is a priority.
  • Glass ionomer: Releases fluoride and is often used for fillings near the gumline or in baby teeth.
  • Ceramic and gold: Long-lasting and more resistant to staining, though generally more costly.

The choice of material depends on factors such as the location and size of the cavity, patient preference, and budget.

Our office does not place amalgam (silver fillings). We strictly utilize composite resin, glass ionomer, and ceramics.

After placement, the filling is shaped and polished to ensure a comfortable bite and smooth surface. With proper care, fillings can last many years, though they may eventually need replacement due to wear, leakage, or secondary decay.

Dental fillings are essential for preserving natural teeth, preventing pain and infection, and supporting long-term oral health. Regular dental check-ups help ensure that fillings remain intact and effective.

Back to All Services

Contact Us

Ready to join the FamLee? Get in touch with us today!

Why Choose The FamLee Dentist?

  • Personalized, family-centered care
  • Modern, comfortable office environment
  • Flexible scheduling options
  • Insurance-friendly billing
  • Emergency care available

Call Us Today!

(406) 453-6467